genetico
Главная / Полезные статьи / Неразвивающаяся беременность: причины, диагностика, симптомы, профилактика и лечение

Неразвивающаяся беременность: причины, диагностика, симптомы, профилактика и лечение

23 мая 2023 г
5 минут минут

 

Содержание:


Описание заболевания

Неразвивающаяся беременность представляет собой состояние, которое характеризуется нежизнеспособностью плода (эмбриона), патологической инертностью миометрия и нарушением в системе гемостаза. Неразвивающаяся беременность является одним из сценариев развития событий при невынашивании беременности, наравне с самопроизвольным выкидышем. Неразвивающаяся беременность также рассматривается как особая разновидность невынашивания беременности, которая характеризуется гибелью эмбриона или плода на ранних сроках беременности с его длительной задержкой в полости матки. Для неразвивающейся беременности характерно длительное и скрытое течение, что затрудняет своевременную диагностику.

Около 75–80% всех репродуктивных потерь приходится на первый триместр беременности. Согласно положению ВОЗ неразвивающаяся беременность относится к одной из разновидностей несостоявшегося аборта (missed abortion – если неразвивающаяся беременность до 22 недель, missed labor неразвивающаяся беременность после 22 недель).

Классификация типов неразвивающейся беременности

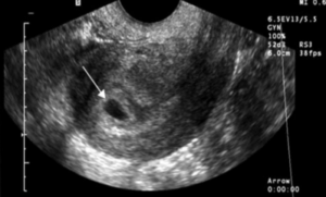
На основании результатов УЗИ выделяют два типа неразвивающейся беременности: анэмбриония (отсутствие эмбриона в плодном яйце, эмбрион либо не сформировался изначально, либо его развитие остановилось на ранних сроках беременности, не позже 5-ой недели гестации) и гибель эмбриона (плода). Различают анэмбрионию 1-го (зародыш не визуализируется, величина диаметра плодного яйца не превышает 2,0–2,5 см, размеры матки соответствуют 5–7-й неделе гестации, наблюдается отставание размеров матки и плодного яйца от срока беременности и прекращение их роста при наблюдении в динамике) и 2-го типа (наблюдается отсутствие эмбриона или его остатков в виде позвоночного сгиба, однако плодное яйцо растет с нормальной скоростью, не идентифицируется закладка ворсинчатого хориона, наблюдается наличие плодного яйца и эмбриона в полости матки без признаков жизнедеятельности).

Клинические симптомы неразвивающейся беременности

К клиническим симптомам замершей беременности относятся исчезновение тошноты и рвоты в сроки до 12 недель беременности, общая слабость, головокружение и лихорадка, отсутствие шевеления плода в ожидаемый срок или же их прекращение, боль и кровянистые выделения из половых путей.

Причины, этиология и патогенез

Этиология и патогенез неразвивающейся беременности остаются не изученными до конца. На сегодняшний день основными причинами неразвивающейся беременности считаются:

  1. Нарушение анатомии половых органов. Нарушение анатомии половых органов включают в себя врожденные и приобретенные дефекты матки. К врожденным дефектам матки относятся полное удвоение матки, двурогая, седловидная, однорогая матка, частичная или полная внутриматочная перегородка. К приобретенным дефектам матки относятся истмико-цервикальная недостаточность, субмукозная миома и внутриматочные синехии.
  2. Генетические и хромосомные аномалии эмбриона. Генетические и хромосомные аномалии эмбриона – это основная причина потерь на ранних сроках беременности. Чаще всего хромосомные аномалии плода возникают в результате наличиятранслокации у одного из партнёров. Чем старше возраст матери, тем выше риск анеуплоидии (число хромосом не кратно 23). Трисомии – наиболее распространенный и известный вариант анеуплоидий (синдром Дауна – трисомия по 21-ой хромосоме, синдром Патау – трисомия по 13-ой хромосоме, синдром Эдвардса – трисомия по 18-ой хромосоме).
  3. Патологическое состояния эндометрия, которые характеризуются его неполноценностью и неспособностью обеспечить процессы гестации, в том числе в связи с хроническими заболеваниями матери. Наиболее частыми патологическими состояниями эндометрия являются хронический аутоиммунный эндометрит и синдром регенераторно-пластической недостаточности эндометрия.
  4. Наследственные тромбофилии и антифосфолипидный синдром (АФС). Наследственные тромбофилии и антифосфолипидный синдром (АФС) могут существенно снизить вероятность вынашивания беременности.
  5. Другие причины, к которым относят аномальную активность естественных киллеров, наличие аллоиммунных антител, таких как антиотцовские цитотоксические, антиидиотипические антитела, блокирующие реакции смешанных лимфоцитов и HLA-несовместимость партнёров.

К основным факторам риска относят поздний репродуктивный возраст матери и большое количество эпизодов невынашивания беременности. Риск замерзшей беременности у женщины в возрасте 20–25 лет составляет около 9%, 25–30 лет — около 18%, 30–40 лет — около 40%, в возрасте более 45 лет риск составляет более 75%. Чем больше эпизодов невынашивания беременности было диагностировано у женщины, тем хуже прогноз для последующего зачатия. Кроме того, к факторам риска относят хронические заболевания матери, такие как синдром поликистозных яичников, сахарный диабет, хронические заболевания почек, системная красная волчанка, антифосфолипидный синдром, болезни щитовидной железы, артериальная гипертензия. Также определенным факторам риска является нарушения репродуктивного здоровья партнера, табакокурение, употребление алкоголя, наркотическая зависимость, низкий индекс массы тела, потребление высоких концентраций кофеина, стрессовые ситуации. Кроме того, установлено, что факторами риска развития неразвивающейся беременности также являются: воспалительные заболевания гениталий, высокая частота абортов, внутриматочная контрацепция. Также часто выявляемыми причинами неразвивающейся беременности являются инфекции передающиеся половым путем, вызванные вирусом простого герпеса, цитомегаловирусом и уреаплазмой.

Диагностика неразвивающейся беременности

Наиболее информативным методом диагностики неразвивающейся беременности является УЗИ, которое позволят поставить диагноз еще до появления жалоб. При ультразвуковом исследовании выявляется отсутствие эмбриона в полости плодного яйца после седьмой недели гестации или отсутствие сердцебиения плода. Отсутствие сердцебиений плода — не единственный и не обязательный признак неразвивающейся беременности, так как на малых сроках беременности сердцебиений ещё не наблюдают.

Для ранней диагностики замершей беременности проводят трансвагинальное УЗИ в сочетании с определением уровня β-ХГЧ (β-хорионический гонадотропин). В качестве дополнительных тестов с помощью иммуноферментного анализа определяют в сыворотке крови уровни маркеров: β –ХГЧ (содержание при замершей беременности снижено в 3–9 раз), α-фетопротеин (АФП, содержание при замершей беременности в 1,5–4 раза), трофобластический β1-гликопротеин (содержание при замершей беременности снижено в 6–18 раз), плацентоспецифический α1-микроглобулина (содержание при замершей беременности в 2,5 раза выше нормы), плацентарный лактоген (ПЛ) (содержание при замершей беременности снижено в 1,8–2,7 раза), содержание прогестерона при неразвивающейся беременности может сохраняться на относительно высоком уровне, а уровень эстрадиола резко снижается. Для коррекции возможных нарушений системы гемостаза до прерывания беременности необходимо осуществлять тщательный контроль системы свёртывания крови. Анализ крови у женщин с замершей беременностью выявляет увеличение концентрации моноцитов, уменьшение концентрации базофилов и эозинофилов и повышение уровня СОЭ.

Лечение неразвивающейся беременности

Оптимальные способы опорожнения полости матки при неразвивающейся беременности: медикаментозный метод — до 6 недели гестации, вакуум-аспирация — до 12 недели гестации. Неразвивающаяся беременность независимо от основной причины у подавляющего большинства пациенток сочетается с хроническим эндометритом, после опорожнения полости матки необходимы следующие мероприятия: лечение хронического эндометрита, восстановление структурно-метаболических характеристик эндометрия и тщательная подготовка к следующей беременности. Эндометрит, связанный с внутриматочной гибелью эмбриона, необходимо лечить безотлагательно в течение первых 3 месяцев после потери эмбриона. Лечение хронического эндометрита неотделимо от восстановления структурно-метаболических характеристик эндометрия. Комплекс реабилитационных мероприятий включает в себя использование нестероидных противовоспалительных препаратов, коррекцию иммунных нарушений, нормализацию микроциркуляции и метаболических процессов и коррекцию микробиоценоза. Реабилитация эндометрия является первым этапом подготовки к следующей успешной беременности.

Профилактика неразвивающейся беременности

Для уменьшения вероятности действия внешних факторов на течение беременности прежде всего необходимо проводить вне беременности: обследование, которое включает обследование на инфекции передающиеся половым путем; медико-генетическое консультирование с целью выявления групп риска врожденных и наследственных патологий; гормональную терапию при наличии эндокринных причин невынашивания беременности, коррекцию аутоиммунных нарушений, противовоспалительную терапию при инфекционных процессах, медикаментозную коррекцию нарушений свертывающей системы крови и гистероскопию (гистерорезектоскопию) при внутриматочной патологии. Непосредственно во время беременности необходимо проводить регулярное УЗИ плода, определение в сыворотке крови маркеров возможных нарушений развития плода, нормализацию нарушений свертывающей системы крови и профилактику плацентарной недостаточности. При соблюдении вышеуказанных мероприятий и правильном ведении беременности повышается вероятность наступления нормальной физиологической беременности и успешного родоразрешения.

Консультация врача-генетика
Записаться на консультацию очно и онлайн

Перейти

Список используемой литературы:

  1. Методические рекомендации Междисциплинарной ассоциации специалистов репродуктивной медицины (МАРС) / [Коллектив авторов]. — М.: Редакция журнала StatusPraesens, 2021. — 68 с.
  2. Неразвивающаяся беременность / В. Е. Радзинский, А. В. Соловьева, В. И. Димитрова [и др.] ; Российский университет дружбы народов. – 3-е издание, переработанное и дополненное. – Москва : Общество с ограниченной ответственностью Издательская группа «ГЭОТАР-Медиа», 2019. – 184 с. – (Библиотека врача-специалиста).
  3. Агаркова, И. А. (2010). Неразвивающаяся беременность: оценка факторов риска и прогнозирование (обзор). Медицинский альманах, (4), 82-88.
  4. ПОрдиянц И. М., Барабашева С. С. (2018). Неразвивающаяся беременность: взгляд на проблему. Акушерство и гинекология: Новости. Мнения. Обучения, (3 (21)), 92-96. doi: 10.24411/2303-9698-2018-13010
  5. Селихова, М. С., Кузнецова, О. А., Вдовин, С. В., Дмитриенко, Г. В. (2012). Неразвивающаяся беременность: как избежать потерь в будущем?. Доктор.Ру, (7 (75)), 20-25.
  6. Ящук, А. Г. Неразвивающаяся беременность: современные возможности консервативного ведения / А. Г. Ящук, Р. Р. Юлбарисова, Е. М. Попова // Российский вестник акушера-гинеколога. – 2013. – Т. 13, № 6. – С. 29-33.
  7. Димитрова, В. И., Димитрова, Д. А., & Слюсарева, О. А. (2013). Повторится ли неразвивающаяся беременность? Программа действий. Вестник Российского университета дружбы народов. Серия: Медицина, (5), 51-54.
  8. Манухин И.Б., Крапошина Т.П., Манухина Е.И., Керимова С.П., Испас А.А. (2018). Неразвивающаяся беременность: этиопатогенез, диагностика, лечение. Таврический медико-биологический вестник, 21 (2-2), 182-188.
  9. Захарова Е. А., Селихова М. С. (2017). Соотношение клинических и социальных детерминант неразвивающейся беременности. Медицинский вестник Северного Кавказа, 12 (1), 58-60.
  10. Патент № 2531084 C1 Российская Федерация, МПК G01N 33/50. Способ прогнозирования неразвивающейся беременности : № 2013133366/15 : заявл. 17.07.2013 : опубл. 20.10.2014 / О. Г. Тишкова, Л. В. Дикарева, Д. Л. Теплый, Д. Д. Теплый ; заявитель Государственное бюджетное образовательное учреждение высшего профессионального образования «Астраханская государственная медицинская академия» Министерства здравоохранения Российской Федерации (ГБОУ ВПО АГМА Минздрав а России).
  11. Майскова, И. Ю. Восстановительная терапия после перенесенной неразвивающейся беременности / И. Ю. Майскова, В. И. Димитрова // РМЖ. – 2008. – Т. 16, № 29. – С. 1940-1942. /li>
  12. Б. Н. Джарикова, Л. И. Нургалиева, М. К. Апселенова, С. Т. Токсейтова, А. Д. Ргызбаева, В. Д. Жукова, П. Е. Ли, & А. Е. Садыкова (2013). Этиологические аспекты неразвивающейся беременности. Вестник Казахского Национального медицинского университета, (2), 276-277.

Также, вам может быть интересно

Что делать после выкидыша

По статистике, каждая пятая беременность прерывается, причем в 80% случаев выкидыш случается в первом триместре беременности. Рассказываем, что делать после выкидыша, как восстановить здоровье и подготовиться к новой беременности.

Причины замершей беременности

Согласно статистике, у каждой пятой женщины беременность прерывается на сроке до 22 недель. При этом на долю замершей беременности по разным данным приходится от 45 до 88% случаев. В 80% случаев это происходит в первом триместре – до 12 акушерских недель беременности.

Почему происходит выкидыш на раннем сроке беременности

По статистике, до 20% всех беременностей прерывается, и в 80% случаев это происходит на раннем сроке – до 12 недель1. В статье рассказываем, почему случается выкидыш в первом триместре, и какие факторы могут этому способствовать.

Чистка после выкидыша

Чисткой называют процедуру выскабливания полости матки. Ее делают по разным показаниям, в том числе и после замершей беременности. Это не самая приятная, но необходимая процедура – она позволяет гарантированно избавиться от остатков плодного яйца в матке и предупредить развитие осложнений.
Неразвивающаяся беременность: причины, диагностика, симптомы, профилактика и лечение


Закрыть












                ОнлайнВ центре

                        Отправляя форму, вы даете согласие на обработку и хранение персональных данных в соответствии с пользовательским соглашением









                            Отправляя форму, вы даете согласие на обработку и хранение персональных данных в соответствии с пользовательским соглашением

                              Отправляя форму, вы даете согласие на обработку и хранение персональных данных в соответствии спользовательским соглашением